5094 Dorsey Hall Dr., Ste 204 Ellicott City, MD 21042, 410-992-7911
2 E. Rolling Cross Roads, Ste 257 - Catonsville, MD 21228, 410-719-0480
Before and After Photos
Our staff treats mild to severe cases on a daily basis.
These are some examples of orthodontic problems we can correct.
Before
After
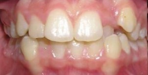
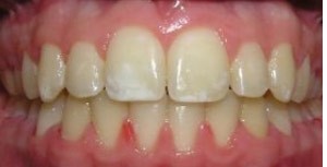
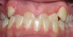
Case 1 – Crowding
In this patient’s case, the “eye” teeth are up higher than normal and the upper jaw has crowding.
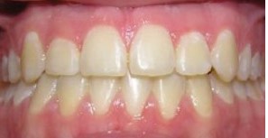
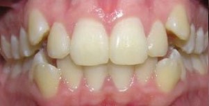
Case 2 – Underbite
This patient’s upper jaw has spacing and front teeth overlap severely.
Before
After
Before
After
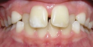
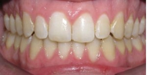
Case 3 – Spacing
This patient’s front teeth do not touch normally, forming an openbite.
Case 4 – Openbite
In this case, there is a spacing problem in the upper jaw.
Before
After
Before
After
Case 5 – Crowding
The patient’s upper front teeth extend out over the lower front teeth, forming an overbite.
Case 6 – Deepbite
A deep bite, or excessive overbite, is a dental issue where the upper front teeth significantly overlap the lower front teeth vertically when the back teeth are closed
Before
After
Orthodontic treatment can truly transform smiles and people’s lives.
Such a wonderful experience! They always got my daughter in, in a timely manner. They made her feel very comfortable whenever she was a little nervous. Very clean office and very friendly staff. Plus you get “orthobucks” for good grades and wearing the braces shirt and get little prizes if you get a certain amount. Oh did I mention, her teeth were very crooked when she went in the first time and now are perfectly straight and she has a beautiful smile. Thank you Dr. Clark and staff for giving my daughter her confidence back! Definitely recommend!
MelissaDr. Clark is a true and dedicated professional. She handled my braces journey satisfactorily and all is still well over 10 years ago...
SurinaSo far my experience with Dr. Clark has been great. She always makes sure I know how the process goes so that I’m not scared or uncomfortable. She’s very careful when using her hands and the tools. Also, I love how interactive her office is with the public. Every time I go there, I can’t forget the shirt that they gave me, plus report cards to earn orthobucks!!! (In the future those become gift cards!!) She and her staff are all great! My brother was the first one who came with Dr. Clark, and because we (as a family) liked her so much, now we are back. 10/10!
AlejandraSuch a wonderful experience! They always got my daughter in, in a timely manner. They made her feel very comfortable whenever she was a little nervous. Very clean office and very friendly staff. Plus you get “orthobucks” for good grades and wearing the braces shirt and get little prizes if you get a certain amount. Oh did I mention, her teeth were very crooked when she went in the first time and now are perfectly straight and she has a beautiful smile. Thank you Dr. Clark and staff for giving my daughter her confidence back! Definitely recommend!
Surina
Dr. Clark is a true and dedicated professional. She handled my braces journey satisfactorily and all is still well over 10 years ago...
Alejandra
So far my experience with Dr. Clark has been great. She always makes sure I know how the process goes so that I’m not scared or uncomfortable. She’s very careful when using her hands and the tools. Also, I love how interactive her office is with the public. Every time I go there, I can’t forget the shirt that they gave me, plus report cards to earn orthobucks!!! (In the future those become gift cards!!) She and her staff are all great! My brother was the first one who came with Dr. Clark, and because we (as a family) liked her so much, now we are back. 10/10!
Contact Us
Give us a call or contact us trough our contact form.
Ellicott City Office
410-992-7911
5094 Dorsey Hall Dr., Ste 204 Ellicott City, MD 21042
Catonsville Office
410-719-0480
2 E. Rolling Cross Roads, Ste 257 - Catonsville, MD 21228